
健全な永久歯を導くために
「最近の子供は、ほとんど虫歯がない」
とよく聞きませんか?
確かに口腔内がきれいなお子様は多くなったと思います。
削る時代から予防する時代へと確実に変わりました。でも、「乳歯は抜けるから」と考えている保護者の方もまだいらっしゃるのが事実です。
乳歯は20本、永久歯は28本、計48本の歯をひとつも削ることなく並べてあげてください。
乳歯は永久歯を導く道具ですから、乳歯列に問題があると永久歯や、歯並びに悪影響を及ぼします。
また歯肉炎、歯並び、指しゃぶり、歯ぎしり、頬杖、口呼吸などの悪習癖、小帯(舌や唇のすじ)などに問題のあるお子様は多数見受けられます。お子様の口腔内について詳しく説明できますので、お気軽にご相談ください。
医院長は小児歯科学会認定小児歯科専門医です。

診療に協力的でなくなかなか診療が進まない
お子様が歯科医師の話を理解して、診療が上手にできるようになるのは
3歳2〜3ヶ月からです。
これはオシメが外せる時期とほぼ重なっていますので、時期には個人差があります。
それを過ぎても、イヤイヤになっている場合でも心配しないでお連れ下さい。
診療に際し導入を行っておりますので、診療ができないお子様はほぼいらっしゃいません。
また、0歳児〜3歳児未満のお子様が泣いて協力的でない事は、ごく普通の事ですので
気にせずお越しください。

虫歯の予防
予防には、仕上げ磨きはもちろん、フッ素塗布や洗口、削らずに歯の溝に前もって樹脂を流し込むシーラントという方法、キシリトールが配合されたガムの利用などさまざまな予防方法があります。それぞれ意味合いが違うので、何でもやればいいというものではなく、個々の口腔内の環境やその時期に合わせて取り入れることが重要です。
最も大切な事は予防は定期検診あってこそ成り立つものであり、やりっぱなしでは効果は得られません。

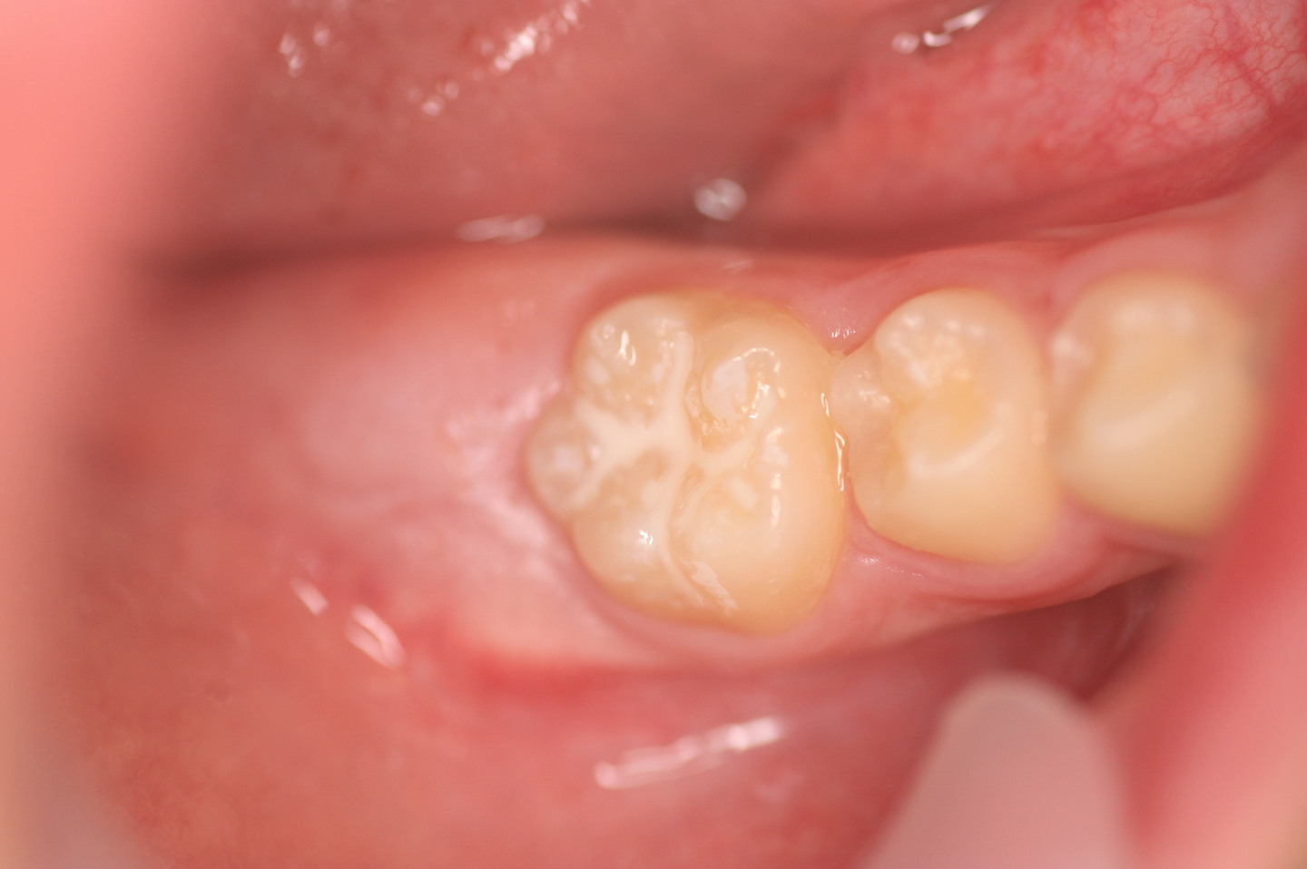
シーラント
乳歯の奥歯や6歳臼歯(第一大臼歯)の溝は虫歯になり易いため、削らずに樹脂を流し込んで溝を浅くしておきます。
(写真左端の歯 溝の部分に白い樹脂を流してあります)
ごく初期の虫歯や、虫歯になり易い傾向のお子様に適応します。

フッ素
フッ素塗布ならびにフッ素洗口の目的は、不安定な歯質の結晶にフッ素を取り込ませて安定化させ、溶けにくい歯にしていく「歯質の強化」です。
生えたての若い歯ほど効果が大きいので、永久歯が生えそろうまでに定期的に
塗布する事で予防効果が上がっていきます。
歯が生えたら0歳児から、予防を始めましょう。

キシリトール
飲んだり食べたたりすると、お口の中は酸性に傾きます。
虫歯菌の出す酸によってエナメル質の成分が溶け出します。
これを脱灰と呼びます。
キシリトールを摂取すると、再石灰化する事によって虫歯の予防ができます。

進行止め?!
今ではあまり見かけなくなったとは言え、「進行止め」と称する薬を塗布すると虫歯の所が後日このように、真っ黒になってしまいます。
何より虫歯にさせないように予防する事が一番ですが、できてしまった虫歯は薬を塗布するのではなく、白い歯に治療してあげたいですね。

断乳できない!
虫歯は歯の噛み合わせ部分の溝や、隣の歯と歯の間にできる事が多く
本来、前歯の平らな面には滅多にできません。
母乳は栄養の観点からも、たっぷりと与えてあげたいものですが、
その与え方を間違えると、ごく幼少期から虫歯になってしまいます。
小さなお子さんを寝かしつけるのは大変な事です。
母乳を与えながら寝かしつけると、赤ちゃんは安心してすぐに寝てくれます。
ですが、乳首をくわえたまま寝てしまうと、上唇と歯の間に母乳が溜まり寝ている間は唾液が出づらく洗いながされる事がないので、写真のように広い面で白く脱灰(溶ける)してしまうのです。
母乳を寝かしつける道具として利用してはいけません。
様々な意見もありますが、1年くらいを目安に断乳を考えるか、与え続けるならしっかりとした歯ブラシが必要です。